anatomy of foot ankle

Surface anatomy we have 9 Pictures about Surface anatomy like Foot Anatomy and Biomechanics - Foot & Ankle - Orthobullets, Bimalleolar fracture causes, symptoms,diagnosis, treatment & recovery and also Centre d'imagerie Ostéo-Articulaire | Clinique du sport de Bordeaux. Here you go:

Surface Anatomy

Surface anatomy www.pmmonline.org

hindfoot position knee

Topographic Anatomy - A 3D Model Collection By Valchanov (@valchanov

Topographic anatomy - A 3D model collection by valchanov (@valchanov sketchfab.com

neet mcqs histology embryology sketchfab bekam demi ruqyah hipertensi sakit valchanov skfb

Foot Anatomy And Biomechanics - Foot & Ankle - Orthobullets

Foot Anatomy and Biomechanics - Foot & Ankle - Orthobullets www.orthobullets.com

eversion inversion orthobullets foot ankle anatomy joint tarsal transverse motion dorsiflexion biomechanics plantar talonavicular topic upload

Radiographic Anatomy Of The Skeleton: Ankle -- Anteroposterior (AP

Radiographic Anatomy of the Skeleton: Ankle -- Anteroposterior (AP uwmsk.org

ankle labelled ap anatomy skeleton mortise radiology anteroposterior radiographic foot student joint knee elbow

Peroneal Tendon Dislocation And Superior Peroneal Retinaculum Injury

Peroneal Tendon Dislocation and Superior Peroneal Retinaculum Injury radsource.us

peroneal peroneus mri tendon brevis normal longus anatomy retinaculum injury dislocation superior fibular tubercle radsource spr 2006 arrowhead 4d

Centre D'imagerie Ostéo-Articulaire | Clinique Du Sport De Bordeaux

Centre d'imagerie Ostéo-Articulaire | Clinique du sport de Bordeaux www.image-echographie.net

ultrasound wrist scaphoid fracture fractures partenaires

Bimalleolar Fracture Causes, Symptoms,diagnosis, Treatment & Recovery

Bimalleolar fracture causes, symptoms,diagnosis, treatment & recovery healthjade.net

fracture bimalleolar xray anatomy radiology caviglia frattura gamba fratture radiopaedia

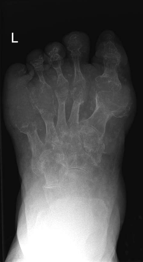
Gout - Radiology At St. Vincent's University Hospital

Gout - Radiology at St. Vincent's University Hospital www.svuhradiology.ie

gout radiology

Sutures Of The Skull: Anatomy | Kenhub

Sutures of the skull: Anatomy | Kenhub www.kenhub.com

skull suture kenhub occipital bone anatomy lambdoid superior sutures linea nuchal line nuchalis posterior cranial bones accessory joints sutura protuberance

Eversion inversion orthobullets foot ankle anatomy joint tarsal transverse motion dorsiflexion biomechanics plantar talonavicular topic upload. Neet mcqs histology embryology sketchfab bekam demi ruqyah hipertensi sakit valchanov skfb. Sutures of the skull: anatomy

close