bicep tricep anatomy

Flexor-Pronator Strain | Dr. David Geier - Sports Medicine Simplified we have 9 Pictures about Flexor-Pronator Strain | Dr. David Geier - Sports Medicine Simplified like Arm Isolation: Is Direct Bicep And Tricep Work Necessary?, Chest Workouts to Gain Muscle Fast | Muscle gain workout, Chest and also Reverse Grip Cable Triceps Pushdown • Bodybuilding Wizard. Read more:

Flexor-Pronator Strain | Dr. David Geier - Sports Medicine Simplified

Flexor-Pronator Strain | Dr. David Geier - Sports Medicine Simplified www.drdavidgeier.com

flexor pronator strain muscle elbow

Standing Cable Curls - Pulley Curls • Bodybuilding Wizard

Standing Cable Curls - Pulley Curls • Bodybuilding Wizard bodybuilding-wizard.com

cable curls biceps standing curl pulley exercise wizard bodybuilding musqle guide

Reverse Grip Cable Triceps Pushdown • Bodybuilding Wizard

Reverse Grip Cable Triceps Pushdown • Bodybuilding Wizard bodybuilding-wizard.com

reverse grip cable tricep press down pushdown triceps pulldown bodybuilding wizard exercises barbell bench section

Chest Workouts To Gain Muscle Fast | Muscle Gain Workout, Chest

Chest Workouts to Gain Muscle Fast | Muscle gain workout, Chest www.pinterest.com

chest workouts workout muscle bodybuilding gain fast exercises routine mass gym

Piriformis Muscle: Functional Anatomy Guide • Bodybuilding Wizard

Piriformis Muscle: Functional Anatomy Guide • Bodybuilding Wizard bodybuilding-wizard.com

piriformis muscle anatomy functional guide wizard bodybuilding

Low-Pulley Cable Triceps Overhead Press • Bodybuilding Wizard

Low-Pulley Cable Triceps Overhead Press • Bodybuilding Wizard bodybuilding-wizard.com

triceps tricep

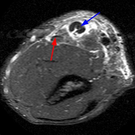
Distal Biceps Tendon Rupture Elbow - Radsource

Distal Biceps Tendon Rupture Elbow - Radsource radsource.us

elbow mri biceps tendon rupture distal anatomy radsource 1b

Arm Isolation: Is Direct Bicep And Tricep Work Necessary?

Arm Isolation: Is Direct Bicep And Tricep Work Necessary? seannal.com

arm tricep arms bicep isolation necessary direct train

A Muscular Career Marriage - Bryan Krahn

A Muscular Career Marriage - Bryan Krahn bryankrahn.com

triceps marriage

Elbow mri biceps tendon rupture distal anatomy radsource 1b. Cable curls biceps standing curl pulley exercise wizard bodybuilding musqle guide. A muscular career marriage

close