segments of liver anatomy

Functional Anatomy of the Liver | Learn Surgery Online we have 15 Pics about Functional Anatomy of the Liver | Learn Surgery Online like The Radiology Assistant : Liver - Segmental anatomy, Liver segments: annotated CT | Radiology Case | Radiopaedia.org | Liver and also Liver segments: annotated CT | Radiology Case | Radiopaedia.org | Liver. Here you go:

Functional Anatomy Of The Liver | Learn Surgery Online

Functional Anatomy of the Liver | Learn Surgery Online learnsurgeryonline.com

liver anatomy segments

Segmental Anatomy Of The Liver - MRI Of The Liver - Doctor Steve Abel

Segmental Anatomy of the Liver - MRI of the Liver - Doctor Steve Abel www.doctorabel.us

liver anatomy segmental mri couinaud segments 20a bismuth according fig

Liver Anatomy And Function | Anatomy And Physiology | Pinterest

Liver anatomy and function | Anatomy and Physiology | Pinterest www.pinterest.com

hati anatomi physiology fibrosis hepatic ehealthstar peptide fungsi regenerative anatomia congenital digestive pencernaan histology operative labelling diaphragmatic empedu visceral kelenjar

Anatomy Of The Liver - Anatomy Drawing Diagram

Anatomy Of The Liver - Anatomy Drawing Diagram sen842cova.blogspot.com

cellular springerlink

Anatomy Of The Liver

Anatomy of the Liver www.livercancer.co.uk

liver anatomy diagram cancer schematic surgical pancreas segmental surgery ndk enlarge bile bowel livercancer

The Radiology Assistant : Liver - Segmental Anatomy

The Radiology Assistant : Liver - Segmental anatomy radiologyassistant.nl

segmental segments radiology sonography radiologyassistant ultraschall sonographie splenic vein medizin

ANATOMY

ANATOMY jklcompany.com

liver anatomy

The Radiology Assistant : Liver - Segmental Anatomy

The Radiology Assistant : Liver - Segmental anatomy radiologyassistant.nl

segmental segments radiology ultrasound assistant vein radiologyassistant sonographie ultraschall medizin radiologie

State-of-the-art Cross-sectional Liver Imaging: Beyond Lesion Detectio

State-of-the-art cross-sectional liver imaging: beyond lesion detectio www.dovepress.com

liver anatomy sectional portal imaging venous diagram lesion beyond cross state arterial detection figure

Liver Segmental Anatomy

Liver segmental anatomy www.slideshare.net

segmental gallbladder

Liver Anatomy | Radiology Key

Liver Anatomy | Radiology Key radiologykey.com

liver anatomy segments hepatic radiology segmental radiologykey

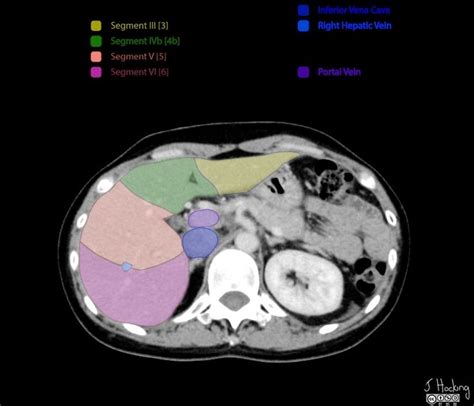
Liver Segments: Annotated CT | Radiology Case | Radiopaedia.org | Liver

Liver segments: annotated CT | Radiology Case | Radiopaedia.org | Liver www.pinterest.co.uk

radiopaedia segments hepatic radiology annotated couinaud segmental segmentation slidedocnow radiological ultrasound

Liver Segments

Liver segments www.slideshare.net

segments segment

Liver Segmental Anatomy - Anatomy Diagram Book

Liver Segmental Anatomy - Anatomy Diagram Book grekoulas.blogspot.com

segments segmental stepwise evaluation

Liver | Radiology Key

Liver | Radiology Key radiologykey.com

liver anatomy radiology segmental couinaud transverse ct segments bismuth terminology portal vein key taken above figure cirrhosis radiologykey

Radiopaedia segments hepatic radiology annotated couinaud segmental segmentation slidedocnow radiological ultrasound. Liver anatomy diagram cancer schematic surgical pancreas segmental surgery ndk enlarge bile bowel livercancer. Segmental segments radiology ultrasound assistant vein radiologyassistant sonographie ultraschall medizin radiologie

close